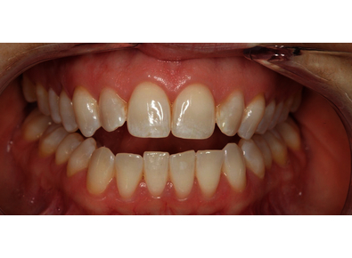
Η ανοιχτή δήξη (open bite) είναι μια μορφή ανωμαλίας σύγκλεισης κατά την οποία τα άνω και κάτω δόντια δεν συναντώνται όταν το στόμα κλείνει, αφήνοντας ένα κενό στα πρόσθια ή στα πλάγια δόντια. Αυτή η κατάσταση μπορεί να δυσκολεύει σημαντικά τη μάσηση, καθώς τα δόντια δεν συνεργάζονται σωστά για να τεμαχίσουν την τροφή, ενώ συχνά επηρεάζει και την ομιλία, προκαλώντας αλλοιώσεις στην προφορά συγκεκριμένων ήχων (π.χ. «σ» ή «ζ»). Η ανοιχτή δήξη μπορεί να οφείλεται σε σκελετικούς παράγοντες, σε συνήθειες όπως το πιπίλισμα του αντίχειρα ή η παρατεταμένη χρήση πιπίλας, αλλά και σε αναπνοή από το στόμα, αντί από τη μύτη. Η θεραπεία απαιτεί άμεση ορθοδοντική παρέμβαση, ενώ σε πιο σοβαρές περιπτώσεις μπορεί να χρειαστεί και συνεργασία με άλλες ειδικότητες για την πλήρη αποκατάσταση της λειτουργίας και της αισθητικής.






