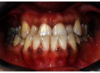
Ο προγναθισμός της κάτω γνάθου είναι μια σκελετική ανωμαλία κατά την οποία η κάτω γνάθος προβάλλει περισσότερο από την άνω, με αποτέλεσμα τα κάτω δόντια να έρχονται μπροστά από τα άνω, όταν το στόμα κλείνει. Το πρόβλημα μπορεί να είναι κληρονομικό ή να οφείλεται σε ανισορροπία στην ανάπτυξη των γνάθων κατά την παιδική ηλικία. Η θεραπεία είναι πιο αποτελεσματική όταν ξεκινήσει νωρίς, όσο η ανάπτυξη του προσώπου δεν έχει ολοκληρωθεί, καθώς τότε ο ορθοδοντικός μπορεί να κατευθύνει την ανάπτυξη της γνάθου με ειδικούς μηχανισμούς ή μασελάκια. Σε ενήλικες, όπου η ανάπτυξη έχει σταματήσει, η αντιμετώπιση είναι πιο σύνθετη και συχνά απαιτεί συνδυασμό ορθοδοντικής και χειρουργικής θεραπείας. Η έγκαιρη διάγνωση από εξειδικευμένο ορθοδοντικό είναι καθοριστική για την επιλογή της σωστής μεθόδου και την επίτευξη ενός λειτουργικού, αρμονικού αποτελέσματος.






