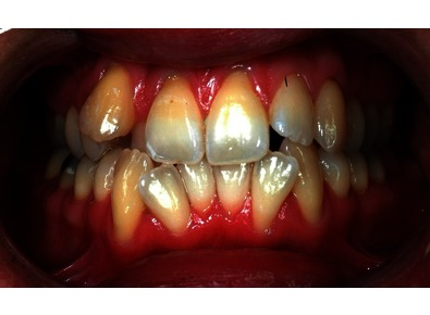
Ο συνωστισμός δοντιών είναι μια από τις πιο συχνές ορθοδοντικές ανωμαλίες και εμφανίζεται όταν τα δόντια δεν έχουν αρκετό χώρο για να αναπτυχθούν στη σωστή τους θέση μέσα στη γνάθο. Αυτό μπορεί να οφείλεται σε κληρονομικούς παράγοντες, σε μικρό μέγεθος της γνάθου, σε πρόωρη ή καθυστερημένη απώλεια νεογιλών δοντιών ή ακόμα και σε κακές στοματικές συνήθειες στην παιδική ηλικία. Ο συνωστισμός δεν επηρεάζει μόνο την αισθητική του χαμόγελου, αλλά δυσκολεύει και τον καθαρισμό, αυξάνοντας τον κίνδυνο τερηδόνας και ουλίτιδας. Η ορθοδοντική θεραπεία με σιδεράκια, διαφανείς νάρθηκες ή και με ελεγχόμενη διεύρυνση της γνάθου σε νεαρότερες ηλικίες μπορεί να αποκαταστήσει την ισορροπία και να δημιουργήσει τον απαραίτητο χώρο ώστε τα δόντια να ευθυγραμμιστούν σωστά.Σε περίπτωση που ο ορθοδοντικός κρίνει ότι δεν πρέπει να ¨στριμωχτούν¨ τα δόντια, τότε προβαίνουμε σε εξαγωγές.






