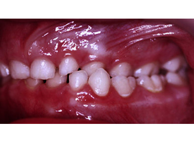
Η σταυροειδής σύγκλειση (crossbite) είναι μια μορφή ανωμαλίας σύγκλεισης κατά την οποία ένα ή περισσότερα άνω δόντια «κλείνουν» προς τα μέσα σε σχέση με τα αντίστοιχα κάτω, αντί να καλύπτουν φυσιολογικά την εξωτερική τους επιφάνεια. Αυτό μπορεί να συμβεί είτε στα μπροστινά είτε στα πλάγια δόντια και να επηρεάσει τόσο την αισθητική όσο και τη λειτουργικότητα της μάσησης. Αν δεν διορθωθεί, μπορεί να οδηγήσει σε φθορά δοντιών, ασυμμετρία στο πρόσωπο ή και προβλήματα στην άρθρωση της γνάθου. Η θεραπεία εξαρτάται από την ηλικία και το είδος της σταυροειδούς σύγκλεισης. Σε παιδιά και εφήβους συνήθως χρησιμοποιούνται μηχανισμοί διεύρυνσης της άνω γνάθου ή σιδεράκια, ενώ σε ενήλικες μπορεί να χρειαστεί πιο σύνθετη ορθοδοντική προσέγγιση ή και συνδυασμός με χειρουργική. Η έγκαιρη διάγνωση είναι το κλειδί για μια πιο εύκολη και αποτελεσματική αντιμετώπιση.






